Recombinant human activin B protein (Qk024)Recombinant human activin B protein (Qk024)
Price range: £320.00 through £3,960.00
Activin B is a member of the transforming growth factor-beta (TGF-β) superfamily, a group of proteins that play key roles in regulating cell growth, survival and differentiation. Activin B has been shown to play a role in metabolism, tissue regeneration and fibrosis. Recombinant activin B has been used to induce pancreatic differentiation and induce wound healing in mesenchymal stem cells (MSCs).Â
Qkine recombinant activin B is the only commercially available animal origin-free activin B protein. Recombinant activin B is a bioactive 25.6 kDa homodimer, tag free and carrier free for improved reproducibility.Â
This protein is also available as GMP compliant Cell Therapy Grade, to enquire email support@qkine.com.
In stock
Orders are typically shipped same or next day (except Friday).
Easy world-wide ordering, direct or through our distributors.
Price range: £320.00 through £3,960.00
Buy online with secure credit card or purchase order. For any questions, please email orders@qkine.com
Summary:
- High purity human protein (Uniprot: P09529)
- 25.6 kDa (dimer)
>98%, by SDS-PAGE quantitative densitometry
Animal origin-free (AOF) and carrier protein-free
Expressed in E. coli
Manufactured in our Cambridge, UK laboratories
Lyophilized from acetonitrile, TFA
- Resuspend in 10 mM HCl (Reconstitution solution A) at >50 µg/ml, add carrier protein if desired, prepare single-use aliquots and store frozen at -20 °C (short-term) or -80 °C (long-term)
Featured applications:
Drug discovery in metabolism
Metabolic disease research 
Wound healing and tissue repair
Mesenchymal stem cell research
Recombinant activin B activity was determined using a Smad reporter assay in HEK293 cells co-transfected with the activin B co-receptor ALK7. HEK293 cells were treated in triplicate with a serial dilution of activin B for 6 hours. Firefly activity was measured and normalized to the control Renilla luciferase activity. Data from Qk024 lot #204803. EC50 = 0.34 ng/ml (13 pM).
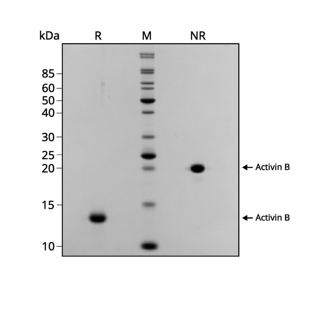
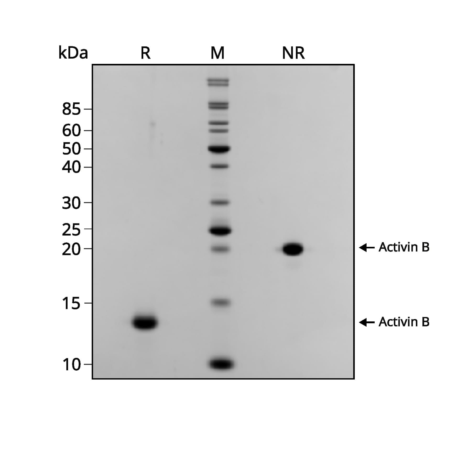
Recombinant Activin B migrates as a major band at approximately 13 kDa (monomer) in reduced (R) and approximately 20 kDa (dimer) in non-reduced (NR) conditions. No contaminating protein bands are present. The purified recombinant protein (3 µg) was resolved using 15% w/v SDS-PAGE in reduced (+β-mercaptoethanol, R) and non-reduced (NR) conditions and stained with Coomassie Brilliant Blue R250. Data from Qk024 lot #204803.
Further quality assays
Mass spectrometry: single species with expected mass
Recovery from stock vial:Â >95%
Endotoxin: <0.05 EU/μg protein
We are a company founded and run by scientists to provide a service and support innovation in stem cell biology and regenerative medicine. All our products are exceptionally high purity, with complete characterisation and bioactivity analysis on every lot.
Protein background
Activins are members of the transforming growth factor-beta (TGF-β) family of proteins which includes ligands, receptors and signaling molecules with essential roles in growth, differentiation and proliferation in a wide range of cell types [1-3]. Activins are secreted proteins which function as dimers of two inhibinβ chains linked by a disulfide bond. Members of the activin class include activin A, activin B, activin C, and activin E, and extend to include GDF-8 (myostatin) and GDF-11 (BMP-11). The inhibinβ chains A, B, C and E combine to form functional activin ligands, activin A is comprised of two inhibinβA chains, activin B two inhibinβB chains and activin C two inhibinβC chains [2-3]. Inhibinβ chains are homologous with 63% identity between A and B and 50% with C, they can also form heterodimers, e.g. activin AB is inhibinβA and inhibinβB and activin AC is inhibinβA and inhibinβC [1-3].
TGF-β family ligands signal through two main pathways which active specific SMAD transcription factors to effect many cellular functions. Binding to type 1 activin receptor-like kinase (ALK) receptors ALK4, ALK5 and ALK7 activates the SMAD2/3 pathway and ALK1, ALK2, ALK3 and ALK6 activate SMAD1/5/8 pathway [4]. Activins activate the SMAD2/3 pathway through the type 1 activin receptors ALK4 and ALK7.
Activin B, along with activin A, has been demonstrated to mediate the activation or expression of JNK, iNOS, and PARP1 and the activation of hepatic stellate cells (HSCs), driving the initiation and progression of liver fibrosis [5]. Overexpression of activin has been shown to have beneficial effects in the pathogenesis of diabetes, stimulating insulin sensitivity and reducing fat by inducing fibroblast growth factor 21 (FGF-21) while suppressing glucagon action in the liver by increasing phosphodiesterase 4 B (PDE4B) [6]. In adipose-derived stem cells (ADSCs), activin B was able to activate JNK and ERK signaling pathways to induce actin stress fiber formation and ADSC migration to promote wound healing [7].
Additional resources
FAQ
Activin B is a member of the transforming growth factor-beta (TGF-β) superfamily, a group of proteins that play key roles in regulating cell growth, survival and differentiation.
Activin B is ubiquitously expressed, with high expression in adipose tissue and is upregulated during inflammation.
Yes, activin B is a cytokine.
The INHBB gene codes for activin B, also known as inhibin beta B
Activins bind to type 1 activin receptors ALK4 and ALK7.
Activin receptor binding activates the SMAD2/3 pathway.
Activin B activates the canonical pathways (Smads) and non-canonical pathways (MAPK signaling) both regulate gene transcription involved in cell survival and proliferation.
Recombinant activin B is used in the study of metabolism and wound healing.
TGF beta family proteins and other growth factors can be very poorly soluble in physiological solutions. Please follow the handling guidance for lyophilized cytokines below to minimize loss of protein due to precipitation or adsorption to plastic. We advise storing the recombinant protein at very low pH before dilution in cell culture media or final working solutions. Low pH will also assist in maintaining the correct disulfide structure of the protein by minimizing disulfide bond exchange reactions.
- Resuspension in physiological buffers may cause precipitation of stock solutions, hence we recommend dissolving our lyophilized cytokines in 10 mM HCl (1:1000 dilution of concentrated HCl) while keeping the protein concentration at 50 µg/ml or above, in order to avoid loss by adsorption to plasticware.
- To ensure you recover all of the protein, let the sample sit for a few minutes with the solubilization buffer at room temperature and pipette gently up and down (avoid foaming).
- Rinse the tube with some more 10 mM HCl and pool with the rest.
- The protein is tolerant of some freeze and thaw cycles, but as always with proteins, it is better to aliquot and store frozen.
- Our proteins are supplied carrier-protein free. If compatible with your work, add carrier protein of your choice such as BSA, HSA or gelatin to further minimize loss by adsorption.
- Store in -80°C for long term storage. -20°C for short-term.
Every effort is made to ensure samples are sterile; however, we recommend sterile filtering after dilution in media or the final working solution.
Our products are for research use only and not for diagnostic or therapeutic use. Products are not for resale.
For use in manufacturing of cellular or gene therapy products. Not intended for in vivo applications.
Receive a Qkine gift card when you leave us a review.
£100, $140 or €120 Qkine gift card for product reviews with an image and £50, $70 or €60 for reviews without an image.

